L'esthétique dentaire grâce aux résines composite modernes

Description

La résine composite, appelée communément " plombage blanc ", est le matériau de choix d'une dentisterie conservatrice moderne.
Moins onéreuses que les reconstructions en céramiques, les reconstructions en résine permettent néanmoins un très bel effet esthétique pour reconstruire les dents cariées, modifier les imperfections et gommer les défauts qui anéantissent un beau sourire .
Au cabinet dentaire de Wavre, votre praticien, spécialisé dans cette technique de reconstruction esthétique, vous aidera à retrouver un sourire dont vous serez fiers !
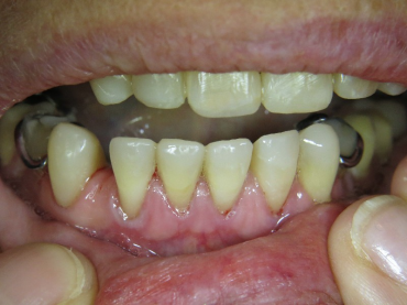
Ici, un cas de bruxisme ( usure exagérée des dents par frottement ) a réduit dramatiquement la hauteur des dents.
En plus d'être inesthétique, cette situation provoque au patient des sensibilités désagréables au quotidien.
Votre dentiste utilisera donc d'abord la résine composite pour redonner aux dents leur aspect initial.

Consultez également :